
À l’aide du miscroscope, le médecin endodonte pourra observer en détail l’image des canaux, identifier les problèmes dentaires et traiter avec plus de précision. En outre, il peut y avoir des fissures qui ne sont pas visibles à l’œil nu, observée seulement à l’aide du miscroscope. En outre, il y a également des cas de patients qui ont éprouvé le traitement endodontique échoué dû aux canaux non identifiés supplémentaires, aux perforations dans la racine ou aux instruments fracturés sur le canal.

L’endodontie est une spécialisation de la médecine dentaire qui s’intéresse à la biologie de l’intérieur de la dent. Elle traite les pathologies de la pulpe, le tissu mou de l’intérieur de la dent qui renferme des nerfs et des vaisseaux sanguins.

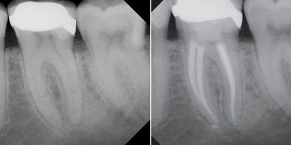
Le traitement de canal est nécessaire quand la pulpe de la dent est infectée suite à une carie importante, des fissures à l’émail ou un traumatisme. Si la pulpe enflammée, infectée ou nécrosée, cela peut causer des douleurs ou conduire à un abcès. Ce traitement consiste à enlever la pulpe infectée des canaux. La dent est ensuite reconstituée soit avec une obturation coronaire ou une couronne.

Le traitement d’endodontie mécanisé présente plusieurs avantages par rapport au traitement qui utilisait des limes manuelles:
Il est plus rapide et plus confortable pour le patient
Permet d’offrir un traitement de qualité supérieure
Copyright © Dental Teglas- All Rights Reserved
SNC Dental Teglas
BE 0672.926.612
Adresse: Rue Ferdinand Nicolay 216, 4420, Saint Nicolas
Email: contact@dentisteurgence.be